福岡 インプラント 福岡 インプラント まつしま歯科医院 福岡 インプラント まつしま歯科医院
福岡 インプラント menu
福岡 インプラント home
福岡 インプラント ご挨拶
福岡 インプラント診療案内
福岡 インプラント 咬合診断
福岡 インプラント 審美歯科
福岡 インプラント
福岡 インプラント アクセス
blog/ブログ
症例紹介・更新情報

福岡 インプラント 咬合診断「食べる」、「話す」といったことは人の基本的な生活行為です。それが快適なものであるかどうかは歯の「噛み合わせ」にかかっています。
歯の治療と「噛み合わせ」は切り離せないもので、どんなに治療をしても、噛み合わせがきちんとしていなければ効果はありません。
当院では噛み合わせの診断に、k7エバリュエーションシステムというコンピュータ診断システムを採用し、より正確な診断をおこなっています。


福岡 インプラント k7

より正確な診断が可能に
  噛み合わせの状態をk7システムで診断します。結果は、患者様にも分かりやすく、グラフィカルに表示されます
福岡 インプラント k7

診断結果
  福岡 インプラント k7

このグラフは下顎の運動記録です。診断結果はこのようなグラフ化された状態で表示されますので患者様ご自身で確認していただくことが可能です。

ここでは実際にk7システムを利用した治療の例をご紹介いたします。

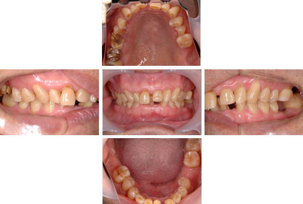
術前の状態
  福岡 インプラント
 
歯周病や歯ぎしり・くいしばりが原因で、歯牙・歯周組織の破壊のみならず顎位のズレまで至ったケ−ス
 
●術前のk7データ
福岡 インプラント k7
 

術後の状態
  福岡 インプラント
 
k−7デ−タを参考にインプラントを併用した補綴治療で、顎位の補正と必要最少限度の修復処置を行ったケ−ス
 
●術後のk7データ
福岡 インプラント k7
 

copyright(c)2005 matsushuma dental. all rights reserved.