福岡 インプラント まつしま歯科医院 福岡 インプラント まつしま歯科医院 福岡 インプラント まつしま歯科医院
福岡 インプラント まつしま歯科医院
福岡 インプラント menu
福岡 インプラント home
福岡 インプラント ご挨拶
福岡 インプラント 診療案内
福岡 インプラント 咬合診断
福岡 インプラント 審美歯科
福岡 インプラント
福岡 インプラント アクセス
blog/ブログ
症例紹介・更新情報
福岡 インプラント 福岡 インプラント

福岡 インプラント虫歯やその他の理由で歯が失われた場合、従来の歯科医療では健康な他の歯を削ってブリッジをかけたり、入れ歯で補うしかありませんでした。
インプラントは人工の歯根を埋め込むことで他の歯を傷つけることなく、自前の歯と同等の歯を取り戻すことができる魅力的な技術です。


福岡 インプラント

当院のインプラント治療をスライドで分かりやすく説明いたしました。
福岡 インプラント
 
インプラントの治療法
  歯を失った部分に人工の歯の根を埋めて土台とし、その上に人工の歯をかぶせます。
歯の埋め込みは1本あたり約30分程度の手術です。局部麻酔をしますので痛みは感じません。


インプラントの魅力
  インプラントの魅力は、天然の歯とほとんど変わらない見栄えと噛み心地です。
また、取り外しの義歯(入れ歯)のような異物感や動揺がほとんどありません。

インプラントの適応
  歯の欠損の状態(失われた歯の本数および部位)やあごの骨の状態(骨の厚さや量、密度、神経や上顎洞との関係など)により、インプラントに適応できない場合もあります。
また、インプラントを入れた後のお手入れの仕方によって長所をどれだけ生かせるかが変わってきます。詳細はお電話、ご来院の上ご相談ください。

  安全なインプラント治療のために・・・

sim plant(シムプラント)とは
インプラント治療を適切に行なうには、、事前の検査であごの骨の状態を詳細にを調べることが重要になります。
当院では従来のx線撮影ではなく、ctスキャンによる検査を採用しています。提携の病院にて最先端のコンピュータシステム(sim plant)を使用してあごの骨の状態を検査し、最適な治療計画を立てる最新の方法です。
 
なぜct撮影が必要なの?
  あごの骨の状態は一人ひとり異なります。ct撮影を行なうことでで、骨の固さや形だけでなくあごの病気や神経の位置などが分かり、より安全な治療を行なうことができます。

ct撮影画像はどう使われるの?
  福岡 インプラント シムプラントct撮影された画像はコンピュータシステム(シムプラント)に取り込まれ、コンピュータの画面上で確認します。
骨の状態をどこでも見たい位置で見ることができ、画面を見ながら患者様に治療法方を分かりやすくご説明いたします。



ここでは実際にインプラントを利用した治療の例をご紹介いたします。

 インプラント治療例 1
 
術前の状態
  福岡 インプラント 福岡 インプラント
インプラント治療後の状態
福岡 インプラント 福岡 インプラント
 
 
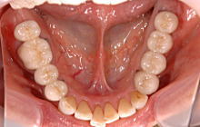
 インプラント治療例 2
 
術前の状態
福岡 インプラント 福岡 インプラント
インプラント治療後の状態
福岡 インプラント 福岡 インプラント
左上に4本、右下に2本のインプラントを埋入したケースです。

copyright(c)2005 matsushuma dental. all rights reserved.